Scoliosis is a fairly common spinal condition that affects approximately three percent of the United States population. Most patients that have mild scoliosis live normal, functional lives and do not require medical treatment. Those with aggressive forms of scoliosis should be monitored closely by their pediatrician during childhood growth spurts. If there is concern that the scoliosis is worsening, there are several treatments offered to slow down or correct the condition. The following highlights the top five things to know about scoliosis.

1. What is scoliosis?
Scoliosis is defined as a curvature(s) in the spine when looking at the person from the back. These curves may occur for various reasons: some children are born with an abnormal bone in their spine, some children develop the issue during their toddler years and some curvatures may occur when muscles are very tight on one side (cerebral palsy). Some people with scoliosis have a parent or family member that had scoliosis, however, the majority of scoliosis cases are idiopathic, meaning we do not have a strong understanding of why they occur. Most cases of scoliosis occur during the adolescent growth spurt, which is why the issue is closely monitored during that time.
It’s important to point out that scoliosis is not caused by environmental factors such as playing sports, carrying heavy bags or lying on your side.
2. What are signs and symptoms of scoliosis?
Because scoliosis progresses slowly over a few years, and most of those affected do not have any symptoms of back pain or difficulty moving, the issue may easily be missed. Nevertheless, some subtle changes of the body do exist, including:
- Uneven shoulders
- One shoulder blade that sticks out more than the other
- The front of your chest looks different from right to left
- Unevenness of the waist or leaning toward one side
- One hip is higher than the other
If such changes exist and become progressively worse during adolescence, you may want to make an appointment with a pediatrician to have your child checked for scoliosis.

3. How is scoliosis diagnosed?
A physical exam is the first step in diagnosing scoliosis. During this simple exam, the pediatrician asks the patient to bend at the waist and checks the back for any left/right unevenness. Shoulder and pelvic symmetry are checked also for leg length or other developmental spinal issues.
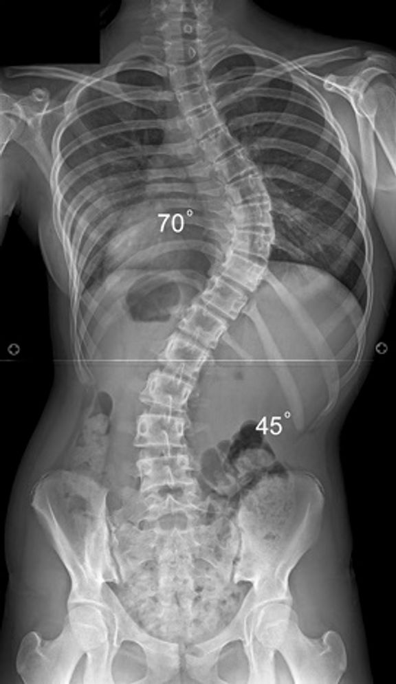
Scoliosis is usually detected by family members or medical professionals during routine observation. Additionally, annual sport physicals may highlight changes in body shape in the growing child. If your pediatrician confirms signs consistent with scoliosis, your child may be referred for a scoliosis x‑ray to check the shape of their spine.
Early detection of scoliosis is important. Recent studies demonstrate that early detection can aid your physician in monitoring the curvature and prevent its progression during the adolescent growth spurt.
4. What is the treatment for scoliosis?
Treatment plans for scoliosis are determined by the severity of the spinal curve and the potential for that curve to worsen. Factors that influence treatment include age, anticipated future growth and type of scoliosis. When treatment is needed, the primary options are bracing and surgery.
Braces are typically used in growing children whose bones are immature and present with moderate scoliosis. While braces do not cure scoliosis, they prevent further curvature of the spine. Braces are made of custom molded plastic and fitted to the body; they’re extremely streamlined when worn under clothing. They are most effective when worn day and night and can be worn during most activities. Braces are discontinued once a child’s bones stop growing.
Some severe cases of scoliosis may require surgery to halt the progression of the spinal curvature and correct spinal balance. The most common type of scoliosis surgery is spinal realignment and fusion. Modern day techniques are very safe and effective at correcting scoliosis in the growing child.


5. What is the prognosis for scoliosis?
Prognosis for this condition is generally very good once detected, monitored and treated. Prognosis also depends on the type and severity of the condition. For children and adolescents where the curvature is mild and idiopathic, symptoms are generally tolerable and similar to that of the general population. Moderate or severe cases of scoliosis in children are usually treated successfully with bracing or surgery. It usually does not cause serious complications or reduce life expectancy.
To schedule an appointment with one of our spinal experts, call 630−967−2225 or click here for more information on our Spine Surgery department.
Health Topics:







